Skip to main content

You're visiting from outside the EU. Switch to the US version to see local pricing and tax details in USD.

Switch to US ($)

SERVICES D’EXPRESSION DE PROTEINES EN CELLULES DE MAMMIFÈRES

Boostez votre expression de protéines !

  • Rendements multi-grammes
  • Expression transitoire ou stable
  • Sans endotoxines
  • Pour thérapeutique, diagnostic et recherche

Un taux de réussite de 90% et plus de 1500 protéines exprimées démontrent la qualité de notre service de production de protéines en cellules mammifères ! Quelle est notre stratégie gagnante pour une expression protéique à haut rendement ? Systèmes propriétaires performants, une équipe d’experts en protéines et des plateformes dédiées à la production.

RAPPORT DE DONNÉES

Accédez gratuitement à des données représentatives
d’un projet de test d’expression et de purification Baculovirus/Cellules de mammifères (HEK)

Un exemple idéal des données que vous pouvez attendre de ce type de rapport

Ce rapport complet inclut :

  • Un jeu de données détaillées
  • Tests avancés et résultats
  • Informations majeures à chaque étape du processus

Télécharger le rapport de données

Pourquoi choisir ProteoGenix pour votre
production de protéines en cellules mammifères ?

Boostez votre expression protéique

Essayez XtenCHOTM, le système d’expression de protéines le plus performant.

Large choix de systèmes d’expression mammifère

En tant qu’expert en production protéique, nous proposons des systèmes d’expression CHO et HEK avec différents protocoles et outils.

Production à grande échelle, délais courts

Nos cultures cellulaires atteignent 20L par lot. Obtenez des quantités multi-grammes en 4 semaines !

De l’expression transitoire à stable

Nous proposons une solution adaptée à vos besoins.

Experts en expression protéique

Avec plus de 1500 protéines produites et un taux de réussite supérieur à 90%, notre expertise est unique.

Solution intégrée, du gène à la protéine

Nous gérons votre projet de la synthèse de gènes jusqu’à l’expression protéique.

Réserver un appel

Notre service d’expression protéique en cellules de mammifères
inclut XtenCHOTM !

XtenCHOTM est la nouvelle référence en matière de production de protéines. Après de nombreuses années de recherches intensives, ProteoGenix a mis au point un système surpassant ExpiCHO, la référence du secteur. Consultez des résultats sur notre page de production d’anticorps recombinants.

Ceci n’est qu’une démonstration des performances remarquables de notre système propriétaire d’expression. Ne manquez pas l’opportunité de booster votre production de protéines avec XtenCHOTM !

Processus de production en cellules mammifères

Étape Contenu Délais Rendus
Synthèse de gène
  • Synthèse du gène
  • Optimisation des codons pour système d’expression mammifère
  • Subclonage dans un vecteur d’expression
4 à 5 semaines
  • Échantillon de test de protéine
Étude pilote
  • Amplification et préparation du plasmide
  • Transfection
  • Expression protéique à petite échelle
4 à 5 semaines
  • Protéine purifiée
  • Rapport détaillé
Expression et purification transitoire de protéine
  • Production à grande échelle (1L)
  • Purification par affinité
  • Analyses QC : SDS-PAGE, concentration
3 à 4 semaines
  • Protéine purifiée
  • Rapport détaillé
Génération de pool cellulaire stable
  • Transfection stable
  • Sélection du pool
Sélection du pool
  • Fioles de pool stable
  • Rapport détaillé
Génération de lignée cellulaire stable
  • Sélection des clones les plus producteurs
  • Caractérisation des clones
  • Études de stabilité
  • Préparation RCB
  • Optimisation du procédé
20 semaines
  • RCB testée pour mycoplasme
  • COA
  • Rapport détaillé avec protocole optimisé

Options

  • Expression transitoire à grande échelle : 5L, 10L, 20L
  • Chromatographie d’exclusion stérique
  • Polissage (ADN, HCP, endotoxines)
  • Détoxification endotoxines
  • Analyses : WB, SEC analytique

Une production de protéines adaptée
à vos besoins

ProteoGenix s’engage à proposer à ses clients les plateformes les plus avancées pour la production de protéines. Grâce à XtenCHOTM et notre lignée cellulaire déficiente en GS, nos experts développent leurs propres outils pour repousser les limites de votre expression et répondre à chaque défi.
Besoin d’une production rapide, multi-gramme ? Vous cherchez une lignée cellulaire pour une production recombinante sur le long terme ? Vous êtes au bon endroit !

Expression protéique transitoire
  • Quantités multi-grammes possibles (production jusqu’à 120 L)
  • Délais : 7 à 9 semaines
  • Production de court terme
Génération de pool cellulaire stable
  • Production sur le long terme
  • Délais : 12-14 semaines
Génération de lignée cellulaire stable
  • Multi-grammes par lot
  • Grandes quantités et production durable
  • Délais : ≈6 mois

Étude de cas : Expression d’une IgG de lapin

Les IgG de lapin offrent une grande affinité et spécificité. Néanmoins, leur faible rendement limite leur utilité (rendement moyen ~20 mg/L). ProteoGenix obtient des rendements supérieurs à 200 mg/L.

Protocole d’expression des protéines

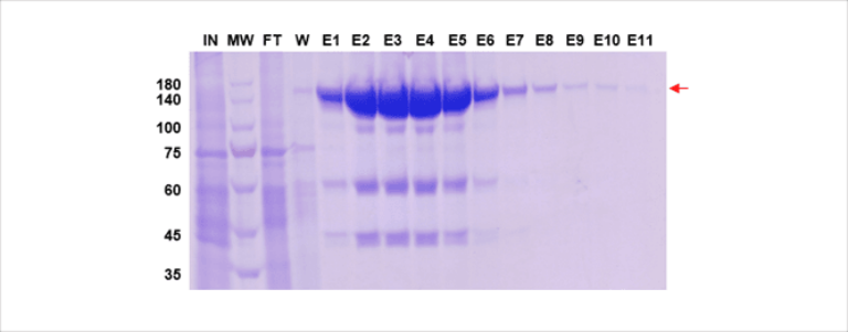
Une culture cellulaire CHO a été co-transfectée de manière transitoire avec des vecteurs codant pour la chaîne lourde (HC) et légère (LC) de l’IgG de lapin. Les cellules ont été récoltées 6 jours après la transfection. L’anticorps cible a été purifié par affinité.

mammalian expression purification

Figure 1 : Profil de purification de l’anticorps cible. Coloration bleu Coomassie.

Analyse non réductrice.

MW : marqueur de poids moléculaire. IN : entrée. FT : flux traversant. W : lavages. E : fractions éluées

Après purification, les fractions d’intérêt sont regroupées puis concentrées et dialysées. Un contrôle qualité final est réalisé par SDS-PAGE en conditions réductrice et non réductrice.

Recombinant antibody production QC

Figure 2 : Contrôle qualité final de la mAb recombinante purifiée. Coloration bleu Coomassie.

2µg d’échantillon par puits

Résultats de production de protéine

Rendement / mg/L Pureté / %
IgG de lapin 265 90

Quand utiliser l’expression en cellules mammifères ?

L’obtention de protéines en quantités multi-grammes est souvent requise en recherche académique (analyse fonctionnelle, cristallographie…) ou pour des projets industriels/biopharmaceutiques. Atteindre des rendements élevés via les cellules mammifères était difficile. Aujourd’hui, plusieurs grammes par litre sont désormais possibles, ce qui rend la technologie économiquement viable. Ces avancées dans le service de production de protéines en cellules mammifères ont été encouragées par la multiplication des biothérapeutiques produits dans ces systèmes.

De plus en plus d’investissements sont consacrés au développement de biopharmaceutiques comme les anticorps thérapeutiques ou protéines. Dans ce contexte, la production de protéines par cellules mammifères suscite un grand intérêt.

La principale différence entre lignées bactériennes et cellules mammifères réside dans la présence de la machinerie post-traductionnelle. Seule la production de protéines en cellules mammifères permet d’obtenir une glycosylation adaptée. Ceci est crucial pour la production d’anticorps thérapeutiques : la glycosylation appropriée favorise efficacité, stabilité et sécurité accrues. Les fragments d’anticorps, en revanche, peuvent être produits via systèmes bactériens.

L’expression en cellules mammifères permet également un repliement correct, indispensable au maintien de l’activité biologique.

En résumé, la production de protéines recombinantes en cellules mammifères augmente leur compatibilité pour un usage humain. C’est pourquoi elles restent les systèmes de référence pour la production de protéines ou d’anticorps thérapeutiques.

Need a quote or more information? Contact us!

    Cart (0 Items)

    Your cart is currently empty.

    View Products